به گزارش پایگاه خبری تحلیلی تسریر به نقل از نیو اطلس، تحقیقات جدید نشان داده است که اولین دستگاه MRI قابل حمل در جهان میتواند سکتههای ایسکمیک را به دقت تشخیص دهد.
این دستگاه در سال ۲۰۲۰ توسط سازمان غذا و داروی ایالات متحده(FDA) مجوز گرفت و محققان نشان دادهاند که این دستگاه به اندازه دستگاههای بزرگتر و گرانتر MRI، یک ابزار تشخیصی مؤثر است.
شرکت فناوری بهداشتی “هایپرفاین”(Hyperfine) برای اولین بار دستگاه MRI قابل حمل خود را در سال ۲۰۱۹ معرفی کرد و این دستگاه موسوم به “Swoop” از آن زمان با فناوری یادگیری عمیق برای بهبود تصاویر خود بهینه شده است.
در حالی که این دستگاه توسط FDA برای استفاده در ایالات متحده تایید شده است، محققان هنوز در حال بررسی بهترین راهها برای استقرار آن در موقعیتهای واقعی هستند و جدیدترین تحقیق به این موضوع میپردازد که این MRI قابل حمل تا چه اندازه سکتههای ایسکمیک را که رایجترین شکل سکته مغزی هستند، تشخیص میدهد.
دو نوع سکته مغزی وجود دارد که “ایسکمیک” و “هموراژیک” نام دارند. “سکته مغزی ایسکمیک” زمانی رخ میدهد که یک لخته، جریان خون را در مغز مسدود کند، در حالی که “سکته مغزی هموراژیک” نتیجه خونریزی در مغز است.
هنگامی که بیمار با علائم سکته مغزی به اورژانس مراجعه میکند، بسیار مهم است که پزشکان به سرعت تشخیص دهند که دچار سکته مغزی ایسکمیک یا هموراژیک شده است. برای مثال، درمان سکته مغزی مشکوک به ایسکمیک با رقیقکنندههای خون در صورتی که بیمار دچار سکته هموراژیک شده باشد، میتواند کشنده باشد.

سکته مغزی یا اصطلاح دقیق آن حوادث مغزی-عروقی نوعی اختلال نورولوژیک ناگهانی است که در اثر اختلال خونرسانی به ناحیهای از مغز رخ میدهد. به بیان دیگر اگر خونرسانی به قسمتی از مغز دچار اختلال شده و متوقف شود، این قسمت از مغز دیگر نمیتواند عملکرد طبیعی خود را داشته باشد. این وضعیت را اصطلاحاً سکته مغزی مینامند. سکته مغزی میتواند به عللی مانند بسته شدن یا پاره شدن یکی از رگهای خونرسان مغز ایجاد شود که به ترتیب سکته ایسکمیک و سکته هموراژیک نام دارند. همچنین سکته مغزی در مردان بیشتر از زنان است.
معمولاً قبل از بروز سکته مغزی، علائم هشدار دهندهای وجود ندارد یا اینکه علائم، بسیار جزئی هستند. بعد از بروز سکته مغزی بیمار باید بلافاصله در بیمارستان بستری شود تا از بروز صدمات دائمی به مغز جلوگیری شود. عوارضی که بعد از سکته مغزی ایجاد میشود بستگی به محل سکته و وسعت بافتهای گرفتار شده مغز دارد. عوارض سکته مغزی از عوارض خفیف و گذرا مثل تاری دید تا عوارض فلجکننده دائمی یا حتی مرگ را شامل میشود. اگر این علائم در طول ۲۴ ساعت از بین بروند، این وضعیت را اصطلاحاً “حمله ایسکمی گذرا” (transient ischemic attack)مینامند که یک علامت هشدار دهنده از یک سکته مغزی احتمالی در آینده است.
سکته مغزی سومین عامل مرگ و میر در جهان است. حدود ۸۵ درصد از تمام موارد سکتههای مغزی بر اثر بسته شدن یک شریان مغزی با یک لخته خون است که به آن سکته مغزی ایسکمیک گفته میشود. از تمام موارد سکتههای مغزی بر اثر بسته شدن یک شریان مغزی با یک لخته خون که به آن اصطلاحاً ترومبوز مغزی گفته میشود، ایجاد میگردد. دیگر عوامل عمده سکته مغزی را آمبولی مغزی و خونریزی مغزی تشکیل میدهند.
آمبولی مغزی وقتی رخ میدهد که تکهای از یک لخته خون که در جای دیگر بدن مثل قلب یا رگ اصلی گردن ساخته شده، خود را از طریق جریان خون به یکی از شریانهای خونرسان مغز برساند و در آنجا گیر کند. حدود یک چهارم سکتههای مغزی بر اثر آمبولی مغزی رخ میدهند. خونریزی مغزی عامل حدود ۱۵ درصد سکتههای مغزی است که بر اثر پاره شدن یکی از شریانهای مغز ایجاد میشود. در این موارد خون بر روی بافتهای اطراف مغز ریخته میشود.


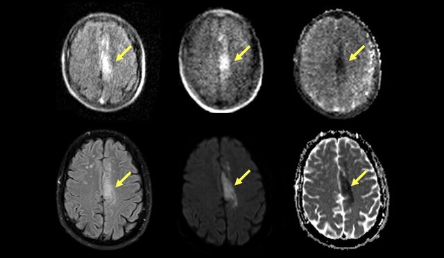
بنابراین، مطالعه جدید به بررسی این موضوع پرداخته است که این دستگاه MRI قابل حمل با چه دقتی میتواند سکته مغزی ایسکمیک را تشخیص دهد. با همکاری محققان دانشکده پزشکی “ییل” و دانشگاه “هاروارد”، ۵۰ بیمار مورد بررسی قرار گرفتند.
ابتدا از هر بیمار توسط دستگاه MRI معمولی برای تایید تشخیص سکته مغزی ایسکمیک تصویربرداری شد. سپس هر بیمار با دستگاه MRI جدید قابل حمل، اسکن شد و این دستگاه جدید توانست لختههای خون در مغز را با دقت ۹۰ درصد تشخیص دهد.
این دستگاه قابل حمل در انواع بخشهای اورژانس و مراقبتهای ویژه آزمایش شد و مشخص شد که لختههای خونی به کوچکی ۴ میلیمتر را تشخیص میدهد.
محققان میگویند این اولین باری است که سکتههای مغزی ایسکمیک با استفاده از یک دستگاه قابل حمل، تشخیص داده میشود.
یافتههای این مطالعه جدید، کاربرد بالینی این دستگاه جدید MRI قابل حمل را تأیید میکند. اگرچه این دستگاه هنوز نتوانسته به دقت یا جزئیات یک MRI معمولی دست یابد، اما محققان ادعا میکنند که این دستگاه قابل حمل میتواند اسکنهای MRI را برای تعداد بیشتری از بیماران در سطح جهان در دسترس قرار دهد.
از سوی دیگر، دستگاههای MRI سنتی به تکنسینهای آموزش دیده و زیرساختهای پرهزینه نیاز دارند. به عنوان مثال اتاقهای مخصوصی باید برای قرار دادن این دستگاهها ساخته شوند، در حالی که این دستگاه قابل حمل را میتوان به سادگی در بیمارستان چرخاند و در جای دلخواه مورد استفاده قرار داد. بیماران را میتوان در کنار تخت خود اسکن کرد و متصدیان نیز به کمی آموزش برای کار با این دستگاه نیاز دارند.
محققان میگویند: سهولت استفاده و هزینه کم این دستگاه، این روش تصویربرداری جدید را برای رفع تنگناهای بالینی و نیازهای تصویربرداری برآورده نشده در محیطهای دارای منابع محدود، مناسب میکند و نتایج نشان میدهد که میتواند چالشها و محدودیتهای مرتبط با رویکردهای سنتی تصویربرداری سکته مغزی را دور بزند.
این مطالعه جدید در مجله Science Advances منتشر شده است.










































































